Une succion du pouce prolongée peut avoir des conséquences sur le développement de la mâchoire, des dents, et aussi sur l’élocution de l’enfant.
Blog - Page 10
Dans certains cas de traitement multi-attache, la pose d'élastiques tendus entre les arcades dentaires permettra d'améliorer le positionnement des dents.
Le port d’un appareil dentaire demande une période d’adaptation et un certain nombre de précautions.
Les bienfaits de l’orthodontie fonctionnelle : agir lors de la croissance pour permettre à votre enfant de se développer harmonieusement.
Elle agit sur l’ensemble des fonctions de la bouche (mastication, déglutition, respiration) lors de la croissance pour permettre un développement harmonieux.
Les canines ont parfois du mal à prendre leur place sur l’arcade dentaire et il arrive qu’elles ne puissent pas se positionner correctement.
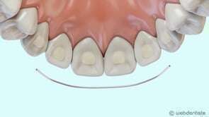
La contention permet de stabiliser les résultats de votre traitement et de conserver un bel alignement des dents.
Un entretien quotidien permettra de conserver vos aligneurs (ou gouttières transparentes) en bon état pendant toute la durée du traitement.
La solution DentalMonitoring® permet de suivre à distance l’évolution d’un traitement orthodontique avec une application personnalisée sur mobile.











