Cabinet dentaire du Docteur PEROL Thibaut
Chirurgien-dentiste à Rouen
Cabinet dentaire du Docteur PEROL Thibaut

59 rue Bouquet
76000 ROUEN

Chirurgien-dentiste à Rouen

Implantologie

Les implants dentaires

1- Les implants dans le cas d'un accident :


   Cette incisive a été fracturée suite à un accident                                                                                                                    Il a été possible de la remplacer par un implant

incisive fracturée
Remplacement par un implant

Cet implant supporte un pilier personnalisé en Zircon qui permet de soutenir la couronne


Résultat après 6 mois

2- Les implants dans le cas d'une situation de déchaussement dentaire


Dans ce cas, un traitement anti infectieux a permis de traiter la maladie de gencive et de conserver les dents du bas mais pas les dents du haut.

La mise en place de plusieurs implants et d'une prothèse transvissée à permis de remplacer toutes les dents de la mâchoire supérieure


3- Les implants en remplacement d'une dent traumatisée


Cette incisive a subit un choc il y longtemps, progressivement sa racine s'est résorbée et elle s'est infectée.

Après décontamination du site et réalisation d'une technique combinée pose d'implant/greffe de gencive/régénération osseuse guidée a permis de réaliser une empreinte pour confectionner une couronne provisoire immédiate sur implant.


La couronne peut être installée 48 heures après la mise en place de l'implant


Après une période de cicatrisation de 4 mois une couronne définitive en céramique est réalisée


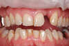
4- les implants en remplacement de dents infectées


Les dents portant un bridge ancien se sont infectées


Après extraction, deux implants et une prothèse provisoire implanto portée sont installés


Après une phase de cicatrisation de 4 mois, le bridge définitif peut-être réalisé


5- Résolutions de problèmes combinés par les implants


Ce patient présente la combinaison de plusieurs problèmes : infections, déchaussement dentaire, caries et dents absentes.


Après une phase d'assainissement et la mise en place de prothèses provisoires, une simulation en 3 dimensions de la situation est réalisée


Une étude avec simulation informatique permet de planifier précisément la pose des implants


Les implants sont alors installés et une prothèse implanto-portée est fixée en bouche 48 heures après.


Après cicatrisation, les prothèses définitives peuvent être réalisées


Création par Webdentiste

Connexion